ВВЕДЕНИЕ
Гипоспадия является второй по распространенности врожденной аномалией наружных половых органов у мальчиков после крипторхизма и встречается по данным современной литературы у 1:1251:300 новорожденных мальчиков. За последние десятилетия отмечается стойкая тенденция к росту заболеваемости гипоспадией [1–12].
Хирургическая коррекция гипоспадии направлена на устранение искривления полового члена и восстановление целостности уретры и является одной из наиболее распространенных операций, выполняемых в детских хирургических и урологических отделениях [8, 13]. Однако, несмотря на большое количество и разнообразие предложенных методик коррекции гипоспадии, они все сопровождаются послеоперационными осложнениями, что требует повторных оперативных вмешательств [14–17].
Дистензионные методики уретропластик рассматриваются как хорошие одноэтапные техники лечения дистальных форм гипоспадии с низким уровнем послеоперационных свищей уретры. Публикации последних лет говорят о хороших функциональных и косметических результатах при использовании перемещающей уретропластики для лечения дистальных форм гипоспадии [18–26].
Стремление к более предсказуемому послеоперационному периоду и снижению ранних послеоперационных осложнений после коррекции гипоспадии также непосредственно связано с выбором послеоперационной повязки. Высокая эффективность применения цианоакрилатных тканевых адгезивов в виде аппликации в различных областях хирургии отражена в публикациях В.В. Плечева и соавт., S.P. Lapointe и соавт., G.A. Castanon и соавт., H.L. Tan и соавт., J.M. Elmore и соавт, S.M. Hosseini и соавт. W.J. Brockway и соавт. [27–36]. Однако детального описания и анализа использования тканевых адгезивов в виде повязки при коррекции и лечении гипоспадии у мальчиков не представлено.
Таким образом, значительный рост распространенности патологии среди новорожденных мальчиков, отсутствие единого подхода в выборе методики коррекции и тактики послеоперационного лечения, значительная частота ранних и поздних послеоперационных осложнений, а также высокая социальная значимость проблемы подтверждает тот факт, что исследование, посвященное проблеме хирургического лечения гипоспадии, является актуальным и оправданным.
Цель – yлучшить результаты хирургического лечения мальчиков с дистальными формами гипоспадии путем внедрения перемещающей уретропластики с нерасчленяющей спонгиопластикой.
МАТЕРИАЛЫ И МЕТОДЫ
Проведено открытое многоцентровое простое случай-контролируемое проспективное и ретроспективное клиническое исследование. В исследование включены 149 мальчиков с дистальными формами гипоспадии в возрасте от 12 мес. до 18 лет. Пациенты получали стационарное лечение в условиях отделениях детской урологии и детской хирургии многопрофильных детских стационаров одним хирургом.
Критерии отбора пациентов для включения в исследование: дистальная форма гипоспадии (головчатая, венечная, дистально-стволовая), при диастазе от дистопированного меатуса до физиологического положения наружного отверстия уретры не более 10 мм, с наличием или отсутствием искривления полового члена, но не более 45° в случаях вентрального искривления и не более 90° в случаях ротационного искривления.
Пациенты были разделены на две группы в зависимости от выполненной методики хирургической коррекции: в группе I (44 пациента) использовалась методика перемещающей уретропластики в модификации A.B. Belman, в группе II (105 пациентов) использовалась авторская методика -«перемещающая уретропластика с нерасчленяющей спонгиопластикой». Также проведен анализ результатов лечения с использованием двух видов послеоперационных повязок: группа А (47 пациентов), у которых использовалось акрилатное апплицирование полового члена цианоакрилатным клеем n-бутил-2-цианоакрилат или 2-октилцианоакрилат, группа Б (30 пациентов), у которых использовалась стандартная циркулярная повязка, фиксированная эластичным адгезивным бинтом. Различий между группами по возрастному составу, форме гипоспадии, величине диастаза и наличию искривления полового члена не установлено. Методика перемещающей уретропластики с нерасчленяющей спонгиопластикой заключалась в следующем: на половом члене выполняется разметка будущих разрезов хирургическим маркером (pис. 1).

Рис. 1. Разметка линий разрезов
Fig. 1. Marking of cut lines
Кожа рассекается циркулярно, проксимальнее венечной борозды на 4-6 мм, окаймляя дистопированное наружное отверстие уретры с захватом кожи полового члена на протяжении 1-2 мм. После чего выполняется мобилизация кожи полового члена до его основания. Проводится проба на искусственную эрекцию, и при наличии искривления полового члена иссекаются эмбриональные искривляющие тяжи для его устранения. Уретра со спонгиозным телом тщательно и аккуратно отделяется от кавернозных тел. На этом этапе принципиальным является сохранение целостности расщепленного дистального отдела спонгиозного тела («ножек» спонгиозного тела) уретры с головкой полового члена. Эта особенность определяет уникальность предложенной авторской методики (pис. 2).

Рис. 2. Мобилизация кожи полового члена до его основания и отделение уретры от кавернозных тел с сохранением «ножек» спонгиозного тела
Fig. 2. Mobilization of the skin of the penis to its base and separation of the urethra from the cavernous bodies while preserving the «legs» of the spongy body
На каждые 2 мм диастаза выполняется отделение дистальной части уретры на протяжении 10 мм, т.е. в соотношении 1:5. В обязательном порядке проводится проба с искусственной эрекцией для контроля искривления и соответствия выделенной уретры длине полового члена. Треугольный лоскут незамкнутой уретральной площадки от дистального участка выделенной уретры до места предполагаемого расположения наружного отверстия уретры на головке полового члена иссекается до кавернозных тел и удаляется.

Рис. 3. Перемещение уретры в физиологическое положение и формирование наружного отверстия уретры
Fig. 3. Moving the urethra to its normal position and forming the external urethral opening
Мобилизованная уретра продвигается дистально и формируется наружное отверстие уретры в физиологическом положении на вершине головки полового члена с формированием узловых атравматический швов (pис. 3).
Расщепленная дистальная часть спонгиозного тела уретры сшивается над слизистой уретры и восстанавливается ее нормальная анатомия. Перемещенная уретра фиксируется к кавернозным телам с двух сторон узловыми швами с шагом 10 мм (pис. 4).

Риc. 4. Спонгиопластика и фиксация уретры к кавернозным телам
Fig. 4. Spongioplasty and fixation of the urethra to the corpora cavernosa
Крылья головки полового члена сводятся над перемещенной дистальной уретрой. Стволовая часть уретры укрывается tunica dartos. Таким образом восстанавливается нормальная анатомия полового члена (pис. 5). В завершение выполняется пластика кожи полового члена и послойно ушивается послеоперационная рана с формированием узловых атравматических швов (pис. 6). В мочевой пузырь устанавливается уретральный катетер Нелатона. Послеоперационная рана и половой член закрываются асептической циркулярной повязкой, фиксированной эластичным адгезивным бинтом классическим способом или апплицируются акрилатным клеем.

Рис. 5. Пластика головки полового члена и укрывание уретры
Fig. 5. Plastic surgery of the glans penis and covering of the urethra

Рис. 6. Ушивание послеоперационной раны
Fig. 6. Suturing the postoperative wound
Акрилатное апплицирование полового члена проводится следующим образом: половой член фиксируется в положении перпендикулярно оси тела, послеоперационные раны и кожа полового члена на всем протяжении от наружного отверстия до основания полового члена покрываются цианоакрилатным тканевым клеем (n-бутил-2-цианоакрилат или 2октилцианоакрилат) последовательно в 2-3 слоя до его застывания, что составляет 30-45 секунд для каждого нанесенного слоя (pис. 7).

Рис. 7. Акрилатное апплицирование полового члена
Fig. 7. Acrylate application to the penis
В ходе выполнения хирургической коррекции у всех пациентов иссекалась уретральная площадка выше дистопированного меатуса. Операционный материал у 22 пациентов был направлен на патогистологическое исследование.
РЕЗУЛЬТАТЫ
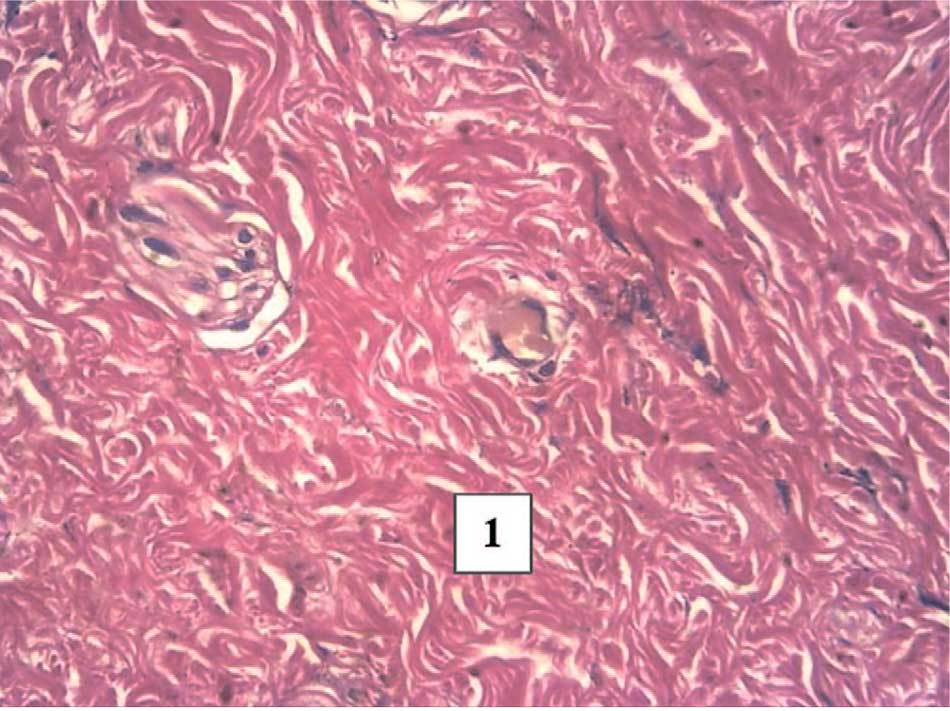
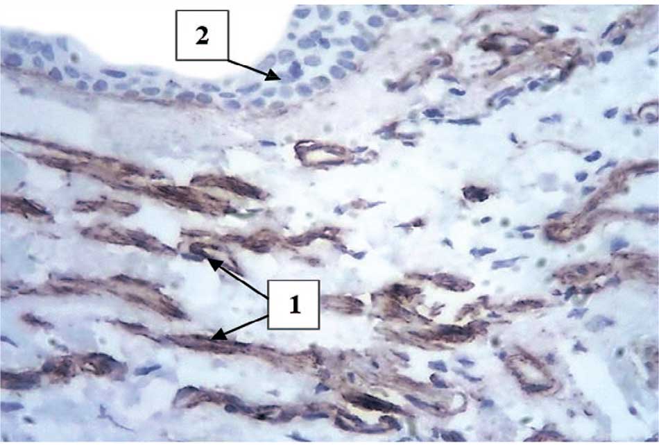
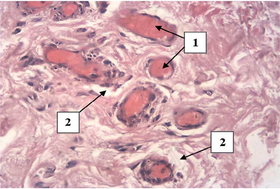
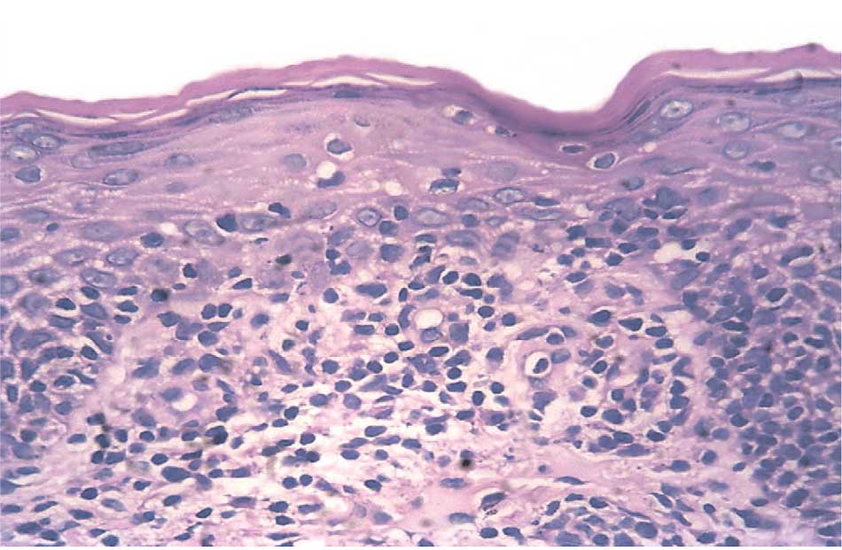
После исследования 22 операционных материалов получены следующие результаты. В 6 (27,3%) случаях уретральная площадка имела сходную гистологическую структуру с губчатой частью нормальной уретры, и в ней не выявлены выраженные патоморфологические изменения. Однако в остальных 16 (72,7%) случаях в уретральной площадке определены морфологические изменения, отличающие ее от нормальной уретры. Данные изменения чаще были локального характера и единичны, а в некоторых случаях отмечались по всей структуре гистологического материала. Так в 11 (50%) случаях эпителиальная выстилка уретральной площадки имела неравномерную толщину. На отдельных участках обнаружены не только многослойный плоский эпителий, но и однослойный однорядный, состоящий из цилиндрических или кубических клеток (рис. 8). В 6 (27,3%) случаях обнаружены признаки микроциркуляторных расстройств с выявленным венозным полнокровием и периваскулярным отеком (рис. 11, 12), а в 3 (13,6%) случаях выявлены воспалительные изменения с лимфогистиоцитарной инфильтрацией тканей и участками отложения фибрина (рис. 13, 14). В 3 (13,6%) случаях выявлены склеротические изменения в различных гистологических структурах уретральной площадки с обнаружением в них грубоволокнистой соединительной ткани и коллагена IV типа. (рис. 9, 10). Несомненно, наличие подобных изменений в гистологической структуре уретральной площадки может негативно сказаться на результатах хирургического лечения гипоспадии с ее использованием.

Рис. 8. Неравномерная окраска эпителиального пласта МКАТ против панцитокератинов. LSAB-метод с докраской гематоксилином. × 400
Fig. 8 Uneven staining of the epithelial layer of the MCAT against pancytokeratins. LSAB method with hematoxylin counterstaining. × 400

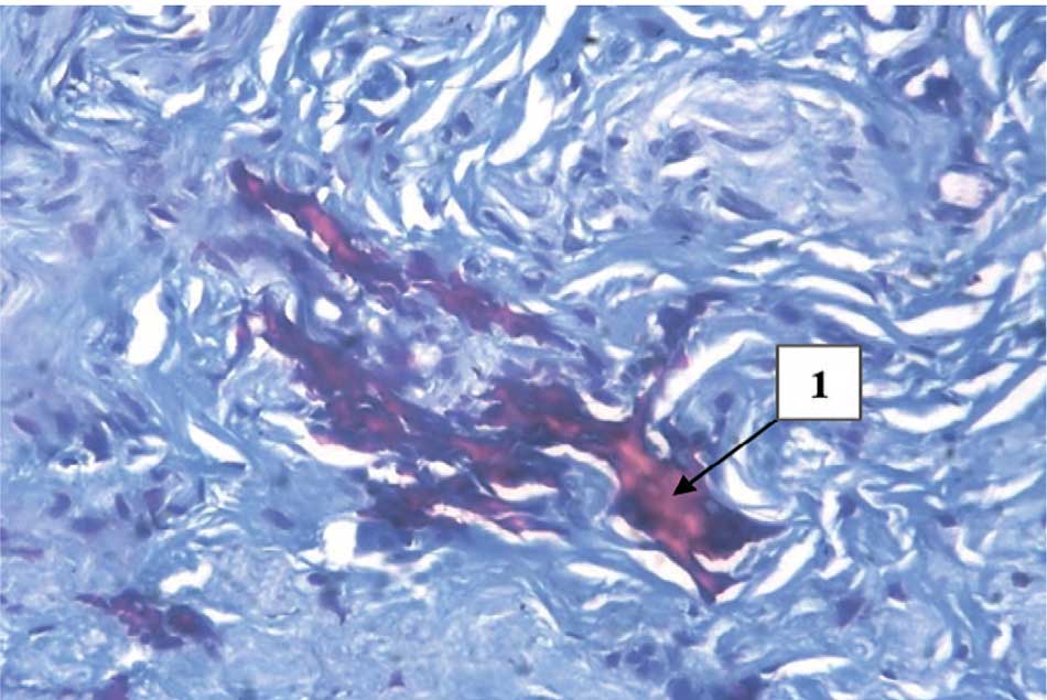
Рис. 9. Грубоволокнистая соединительная ткань (1). Окраска по ван Гизону. × 400
Fig. 9. Coarse-fibrous connective tissue (1). Van Gieson staining. × 400

Рис. 10. Экспрессия МКАТ против коллагена IV типа (1) в грубоволокнистой соединительной ткани. (2) эпителиальная выстилка. LSAB-метод с докраской гематоксилином. × 400
Fig. 10. Expression of MCAT against type IV collagen (1) in coarse-fibrous connective tissue. (2) epithelial lining. LSAB method with hematoxylin counterstaining. × 400

Рис. 11. Полнокровие сосудов (1) и периваскулярный отек (2). Окраска гематоксилином и эозином. × 400
Fig. 11. Full blood vessels (1) and perivascular oedema (2). Stained with haematoxylin and eosin. × 400

Рис. 12. Утолщение базальных мембран кровеносных сосудов (1). Реакция с МКАТ против коллагена IV типа. × 400
Fig. 12. Thickening of the basement membranes of blood vessels (1). Reaction with MCAT against type IV collagen. × 400

Рис. 13. Отложение фибрина среди волокон соединительной ткани (1). Окраска по Маллори. × 400
Fig. 13. Fibrin deposition among connective tissue fibres (1). Mallory stain. × 400

Рис. 14. Лимфогистиоцитарная инфильтрация субэпителиальной области. Окраска гематоксилином и эозином. × 400
Fig. 14. Lymphohistiocytic infiltration of the subepithelial region. Stained with haematoxylin and eosin. × 400
Таким образом, у 72,7% пациентов с гипоспадией при использовании незамкнутой уретральной площадки выявленные изменения могут способствовать развитию таких осложнений, как стриктура уретры в случаях с наличием склеротических изме-нений с грубоволокнистой соединительной тканью, образованию уретральных свищей при изменении эпителиальной выстилки и микроциркуляторных расстройств, а также уретрита при лимфогистиоцитарной инфильтрации.
Результаты лечения детей с дистальными формами гипоспадии
Всего было выполнено 162 оперативных вмешательства 149 пациентам, включающих первичную коррекцию дистальной формы гипоспадии двумя представленными методиками и повторное вмешательство, направленное на коррекцию возникших осложнений.
В рамках исследования проведена обработка результатов лечения с анализом полученных интраоперационно соотношений, то есть отношение диастаза и полученной длины уретры после его мобилизации от кавернозных тел. Графическое представление зависимости величины диастаза и длины выделенной уретры представлена на рисунке 15.

Рис. 15. Зависимость величины диастаза и длины выделенной уретры
Fig. 15. Relationship between the size of the diastasis and the length of the exposed urethra
Таблица 1. Результаты хирургического лечения
Table 1. Results of surgical treatment
| Методика операции Surgical technique | Метод операции / Operation method | Без осложнений Without complications | ||||||
|---|---|---|---|---|---|---|---|---|
| Меатостеноз Meatostenosis | Свищ уретры Urethral fistula | Всего Total | ||||||
| Абс. Abs. | % | Абс. Abs. | % | Абс. Abs. | % | Абс. Abs. | % | |
| I группа Group I | 7 | 15,91 | 1 | 2,27 | 8 | 18,18 | 36 | 81,82 |
| II группа Group II | 4 | 3,81 | 1 | 0,95 | 5 | 4,76 | 100 | 95,24 |
| Анализ связей Correlation analysis | p=0,016 | p=0,505 | p=0,021 | |||||
Значение коэффициента корреляции Пирсона составляет 0,86 (ДИ 0,81-0,89). Связь между анализируемыми величинами прямая, а сила связи высокая (шкала Чеддока). Зависимость признаков статистически значима (p<0,05). По результатам статистического корреляционного и регрессионного анализа (y=4,5979x+ 3,6967, R²=0,7342), можно достоверно констатировать, что чем больше величина диастаза, тем уретра отделяется от кавернозных тел на большую длину. Учитывая полученные данные, мы рекомендуем на каждые 2 мм диастаза отделение уретры от кавернозных тел на протяжении 10 мм при наличии диастаза не более 10 мм.
Контрольные осмотры с фиксацией всех жалоб и послеоперационных осложнений проводились на сроках 2, 6 и 12 месяцев после выполнения оперативного вмешательства. Пациенты с жалобами на дизурию и при подозрении на формирование меатостеноза подвергались дополнительному обследованию с проведением УФМ и ультразвуковой диагностики мочевого пузыря с определением остаточной мочи. Всего было выявлено 13 осложнений у 13 пациентов и проведено 11 меатопластик по причине возникшего стеноза наружного отверстия уретры и 2 ушивания свища уретры.
Длительность операции в группе I составила в среднем 72,3±20,68 мин (Ме: 67,5, 45-145). Средняя продолжительность пребывания пациента в стационаре составило 7,98±1,45 койко-дня (Me: 8, 5-11). В группе II длительность операции составило в среднем 86,25±24,54 мин (Ме: 80, 45-190). Средняя продолжительность пребывания пациента в стационаре составило 7,18±1,55 койко-дня (Ме: 7,3-12), что на 0,8 койко-дней меньше, чем в группе I (p=0,003). По длительности оперативного вмешательства в группах различия статистически значимы (p<0,05).
Полученные осложнения по результатам послеоперационных осмотров представлены в таблице 1.
Общий уровень послеоперационных осложнений в группе I составил 18,18%, а в группе II составил 4,76%. По общему уровню осложнений в группах различия статистически значимы (p=0,021). В группе II получено в 4,2 раза меньше стенозов наружного отверстия уретры (p=0,016). Показатели относительного риска свидетельствует о наличии прямой связи между методом оперативного лечения и вероятностью развития меатостеноза (p<0,05). Анализ количества свищей уретры в обеих группах продемонстрировал отсутствие статистических различий в частоте их формирования (p>0,05). При использовании методики перемещающей уретропластики в модификации А.В. Belman осложнения возникают в 3,8 раза чаще, чем среди мальчиков, оперированных авторской методикой (p<0,05).
Отдаленные результаты лечения детей с применением дистензионных методов уретропластики. Пациенты приглашались на контрольный осмотр через 3 года после проведенной коррекции гипоспадии. Всего отдаленные результаты оценены у 32 мальчиков, у 11 пациентов из группы I и 21 пациента из группы II. Статистически достоверно получено больше «хороших» результатов у мальчиков, где использовалась авторская методика коррекции гипоспадии (p<0,05).
Для оценки эффективности методики акрилатного апплицирования послеоперационной раны и полового члена в качестве альтернативы стандартным циркулярным адгезивным повязкам, используемым при коррекции гипоспадии, проанализированы результаты послеоперационного наблюдения 77 пациентов. Средняя продолжительность пребывания пациента в группе А с применением акрилатного апплицирования составила 6,79±1,77 койко-дня (Ме: 7,3-12). В группе Б c применением циркулярной повязки средняя продолжительность пребывания пациента в стационаре составила 7,83±1,21 койко-дня (Ме: 8,6-11), что на 1,04 койко-дня больше, чем в группе A (p=0,004).
В зависимости от используемой повязки выявлены следующие послеоперационные осложнения (табл. 2).
По общему уровню осложнений разница между группами статистически значима (χ2=6,038; p=0,015).
Оценка ранних послеоперационных осложнений по шкале Clavien-Dindo. К первой степени осложнений мы отнесли местную раневую инфекцию, выраженный отек полового члена и сползание послеоперационной повязки. Ко второй степени осложнений мы отнесли расхождение послеоперационной раны, ишемию головки полового члена, кровотечения или гематомы. Полученные нами результаты представлены в таблице 3.
Исходя из представленных результатов, сделан вывод о том, что использование акрилатного апплицирования полового члена при хирургическом лечении гипоспадии у мальчиков достоверно снижает вероятность возникновения осложнений II степени согласно классификации Clavien-Dindo (χ2=6,471; p=0,011). Риск развития осложнений II степени при использовании послеоперационной марлевой глицериновой повязки, фиксированной самоскрепляющимся эластичным бинтом, в 7,8 раза выше по сравнению с акрилатным апплицированием полового члена (p<0,05).
Таблица 2. Частота и характер осложнений
Table 2. Frequency and nature of complications
| Осложнения Complications | Вид повязки/Type of dressing | |
|---|---|---|
| Акрилатное апплицирование Абс. (%) Acrylate application Abs. (%) | Циркулярная повязка Абс. (%) Circular dressing Abs. (%) | |
| Кровотечение, гематома Bleeding, haematoma | 0 (0%) | 2 (6,7%) |
| Местная инфекция Local infection | 0 (0%) | 3 (10,0%) |
| Расхождение раны Wound dehiscence | 1 (2,1%) | 1 (3,3%) |
| Ишемия головки полового члена Ischemia of the glans penis | 0 (0%) | 2 (6,7%) |
| Выраженный отек Severe oedema | 4 (8,5%) | 0 (0%) |
| Сползание повязки Bandage slippage | 0 (0%) | 3 (10,0%) |
| Без осложнений No complications | 42 (89,4%) | 19 (63,3%) |
| p=0,015 | ||
Таблица 3. Классификация послеоперационных осложнений по Clavien-Dindo
Table 3. Classification of postoperative complications according to Clavien-Dindo
| Вид послеоперационной повязки Type of postoperative dressing | Осложнений не отмечено Абс. (%) No complications noted Abs. (%) | Степень осложнения Grade of complication | ||
|---|---|---|---|---|
| I степень Абс. (%) Grade I Abs. (%) | II степень Абс. (%) Grade II Abs. (%) | III-V степень Абс. (%) Grade III-V Abs. (%) | ||
| Акрилатное апплицирование Acrylate application | 42 (89,36) | 4 (8,51) | 1 (2,13) | Нет No |
| Циркулярная повязка Circular bandage | 19 (63,33) | 6 (20,0) | 5 (16,67) | Нет No |
| Всего (n=77) Total (n=77) | 61 (79,22) | 10 (12,99) | 6 (7,79) | Нет No |
| Анализ связей Correlation analysis | p=0,01 | p>0,05 | p=0,03 | |
ВЫВОДЫ
- Перемещающая уретропластика рекомендуется для лечения мальчиков с дистальной формой гипоспадии с диастазом от дистопированного меатуса до предполагаемого физиологического расположения наружного отверстия уретры не более 10 мм.
- Улучшены результаты хирургического лечения мальчиков с дистальной формой гипоспадии путем внедрения перемещающей уретропластики с нерасчленяющей спонгиопластикой с 81,82% до 95,24%.
- Разработан и внедрен в практику метод перемещающей уретропластики с нерасчленяющей спонгиопластикой для коррекции дистальных форм гипоспадии.
- Обнаружены гистологические изменения в 72,7% случаев в незамкнутой уретральной площадке в виде нарушения строения эпителиальной выстилки, микроциркуляторные расстройства, воспалительные изменения с лимфогистиоцитарной инфильтрацией тканей и склеротические изменения, демонстрирующие риск ее использования при коррекции дистальной гипоспадии.
- При применении методики перемещающей уретропластики с нерасчленяющей спонгиопластикой улучшены результаты лечения в сравнении с перемещающей расчленяющей уретропластикой в виде снижения количества послеоперационных осложнений в 3,8 раза (с 18,18% до 4,76%, (р<0,05)) и увеличения «хороших» косметических результатов лечения в отдаленном периоде (р<0,05).
- Перемещающая уретропластика с нерасчленяющей спонгиопластикой показана для лечения мальчиков с дистальной формой гипоспадии с диастазом от дистопированного меатуса до предполагаемого физиологического расположения наружного отверстия уретры не более 10 мм (y=4,5979x+3,6967, R²=0,7342).
- Разработанный и внедренный способ акрилатного апплицирования полового члена позволяет снизить количество ранних послеоперационных осложнений в 3,5 раза (с 36,7% до 10,6%, (р<0,05)) по сравнению со стандартными адгезивными повязками, а также снизить вероятность возникновения осложнений второй степени согласно классификации Clavien-Dindo (р<0,05).
ЛИТЕРАТУРА
- Bouty A, Ayers KL, Pask A, Heloury Y, Sinclair AH. The genetic and environmental factors underlying hypospadias. Sex Dev 2015;9(5):239-59. https://doi.org/10.1159/000441988
- Canon S, Mosley B, Chipollini J, Purifoy JA, Hobbs C. Epidemiological Assessment of Hypospadias by Degree of Severity. Journal of Urology 2012;188(6):2362–6. https://doi.org/10.1016/j.juro.2012.08.007
- Springer A, van den Heijkant M, Baumann S. Worldwide prevalence of hypospadias. J Pediatr Urol 2016;12(3):1521-7. https://doi.org/10.1016/j.jpurol.2015.12.002
- Акрамов Н.Р., Шарабидзе Г.Г. Парахирургические аспекты лечения мальчиков с гипоспадией. Репродуктивное здоровье детей и подрост-ков 2010;(3):39–48. [Akramov N.R., Sharabidze G.G. Parachirurgical aspects of treating boys with hypospadias. Reproduktivnoe zdorov`e detej i podrostkov=Reproductive health of children and adolescents. 2010;(3):39–48 (in Russian)].
- Paulozzi LJ, Erickson JD, Jackson RJ, Jackson RJ. Hypospadias trends in two US surveillance systems. Pediatrics 1997;100(5):831-4. https://doi.org/10.1542/peds.100.5.831
- Snodgrass W, Bush N. Recent advances in understanding/management of hypospadias. F1000Prime Rep 2014;6:101. https://doi.org/10.12703/P6-101
- Snodgrass WT, Bush NC. Hypospadiology. Dallas: Operation Happe-nis; 2015. 194 p.
- Stein R. Hypospadias. Eur Urol Suppl 2012;11:33-45. https://doi.org/10.1016/j.eursup.2012.01.002
- Севергина Л.О., Меновщикова Л.Б., Коровин И.А. Современный взгляд на развитие и лечение гипоспадии. Всероссийский вестник детской хирургии, анестезиологии и реанимации 2016;6(4):50-6. [Severgina L.O., Menovshchikova L.B., Korovin I.A. A modern view on the development and treatment of hypospadias. Vserossijskij vestnik detskoj xirurgii, anesteziologii i reanimacii=All-Russian Bulletin of Paediatric Surgery, Anaesthesiology and Resuscitation 2016;6(4):50-6 (in Russian)].
- Chong JH, Wee CK, Ho SK, Chan DK. Factors associated with hypospadias in Asian newborn babies. J Perinat Med 2006;34(6):497-500. https://doi.org/10.1515/JPM.2006.096
- Nelson CP, Park JM, Wan J, Bloom DA, Dunn RL, Wei JT. The Increasing Incidence Of Congenital Penile Anomalies In The United States. J Urol 2005;174(4 Part 2):1573–6. https://doi.org/10.1097/01.ju.0000179249.21944.7e
- Sun G, Tang D, Liang J, Wu M. Increasing prevalence of hypospadias associated with various perinatal risk factors in Chinese newborns. Urology 2009;73(6):1241-5. https://doi.org/10.1016/j.urology.2008.12.081
- Seibold J, Werther M, Alloussi S, Gakis G, Schilling D, Colleselli D, et al. Objective longterm evaluation after distal hypospadias repair using the meatal mobilization technique. Scand J Urol Nephrol 2010;44(5):298-303. https://doi.org/10.3109/00365599.2010.482944
- Aulagne MB, Harper L, de Napoli-Cocci S, Bondonny JM, Dobremez E. Long-term outcome of severe hypospadias. J Pediatr Urol 2010;6(5):469-72. https://doi.org/10.1016/j.jpurol.2009.12.005
- Retik AB, Atala A. Complications of hypospadias repair. Urol Clin North Am 2002;29(2):329-39. https://doi.org/10.1016/s0094-0143(02)00026-5
- Snodgrass W, Villanueva C, Bush NC. Duration of follow-up to diagnose hypospadias urethroplasty complications. J Pediatr Urol 2014;10(2):208-11. https://doi.org/10.1016/j.jpurol.2013.11.011
- Soave A, Riechardt S, Engel O, Rink M, Fisch M. Komplikationen bei Hypospadiekorrekturen [Complications of hypospadias repairs]. Urologe A 2014;53(7):1001–5. https://doi.org/10.1007/s00120-014-3498-0
- Adorisio O, Elia A, Landi L. The importance of patient selection in the treatment of distal hypospadias using modified Koff procedure. J Pediatr Urol 2010;6(2):139-42. https://doi.org/10.1016/j.jpurol.2009.06.015
- Dutta HK. Meatal and corpus spongiosum advancement: a better technique for distal hypospadias repair. Pediatr Surg Int 2013;29(6):633-8. https://doi.org/10.1007/s00383-013-3292-x
- El Darawany HM, Al Damhogy ME. Urethral mobilization as an alternative procedure for distal hypospadias repair. Urology 2017;104:183-6. https://doi.org/10.1016/j.urology.2017.03.009
- Elemen L, Tugay M. Limited urethral mobilization technique in distal hypospadias repair with satisfactory results. Balkan Med J 2012;29:21-5 https://doi.org/10.5152/balkanmedj.2011.008
- Gite VA, Nikose JV, Bote SM, Patil SR. Anterior urethral advancement as a single-stage technique for repair of anterior hypospadias: our experience. Urol J 2017;14(4):4034-7.
- Hassan Hussam S, Almetaher H, Negm M, Elhalaby E. Urethral mobilization and advancement for distal hypospadias. Ann Pediatr Surg 2015;11(4):239-43 https://doi.org/10.1097/01.XPS.0000472853.75905.28
- Jawale SA, Jesudian G, Nehete R. Urethral pull-up operation for distal and mid-penile hypospadias: a new safe method. Trop Doct 2019;49(1):65-7. https://doi.org/10.1177/0049475518807315
- Riaz-ul-Haq A, Wasati M, Rafi A, et al. Limited urethral mobilization procedure (LUMP) for distal penile hypospadias repair: a single centre retrospective analysis. Int J Adv Res 2021;9:1335-43
- Yassin A, Osama A, Tarek Z. A comparative study between Snodgrass and urethral advancement methods in the repair of distal penile hypospadias. Al-Azhar Int Med J 2020;1(1):154-9. https://doi.org/10.21608/aimj.2020.69582
- McLorie G, Joyner B, Herz D. A prospective randomized clinical trial to evaluate methods of postoperative care of hypospadias. J Urol 2001;165(5):1669-72. https://doi.org/10.1016/S0022-5347(05)66388-4
- Méndez-Gallart R, García-Palacios M, Rodríguez-Barca P, Estévez-Martínez E, Carril AL, Bautista-Casasnovas A. A simple dressing for hypospadias surgery in children. Can Urol Assoc J 2017;11(1-2):58-9. https://doi.org/10.5489/cuaj.3930
- Narci A, Embleton DB, Boyaci EO, Mingir S, Cetinkurşun S. A practical offer for hypospadias dressing: Allevyn. Afr J Paediatr Surg 2011;8(3):272-4. https://doi.org/10.4103/0189-6725.91658
- Van Savage JG, Palanca LG, Slaughenhoupt BL. A prospective, randomized trial of dressing vs no dressings for hypospadias repair. J Urol 2000;164(3 Pt 2):981-3. https://doi.org/10.1097/00005392-200009020-00015
- Brockway WJ, Bradsher AJ, Hook JE, Patel AS, Zamilpa I, Canon SJ. 2-octyl cyanoacrylate hypospadias repair dressing: a retrospective, controlled comparison. Can J Urol 2019;26(1):9675-9.
- Castañón GA, Ferrandis FJ, Garcia-Aparicio L, Vela B, Tarrado X, Fernández ME. Utilidad del adhesivo tisular 2-octil cianoacrilato en cirugía pediátrica. An Pediatr (Barc) 2003;59(6):548-51. https://doi.org/10.1157/13054336
- Elmore JM, Smith EA, Kirsch AJ. Sutureless circumcision using 2-octyl cyanoacrylate (Dermabond): appraisal after 18-month experience. Urology 2007;70(4):803-6. https://doi.org/10.1016/j.urology.2007.07.002
- Hosseini SM, Rasekhi AR, Zarenezhad M, Hedjazi A. Cyanoacrylate glue dressing for hypospadias surgery. N Am J Med Sci 2012;4(7):320-2. https://doi.org/10.4103/1947-2714.98593
- Lapointe SP, N-Fekete C, Lortat-Jacob S. Early closure of fistula after hypospadias surgery using N-butyl cyanoacrylate: preliminary results. J Urol 2002;168(4 Pt 2):1751-3. https://doi.org/10.1097/01.ju.0000028339.08334.d7
- Tan HL, Nah SA, Budianto II, Sehat S, Tamba R. The use of octyl cyanoacrylate (superglue) in hypospadias repair including its use as a fixator for urethral stents. J Pediatr Surg 2012;47(12):2294-7. https://doi.org/10.1016/j.jpedsurg.2012.09.022


